Área: Neurocirurgia/
Radiologia
Autores: Daniel Alencar de Andrade Campos e Maria Emília Matos
Pequeno Dias
Revisor (a): Rafaela Maria
Sobreira França
Orientador (a): Juan Carlos
Soares Vidal
Liga: LAAOCCI – Liga Acadêmica de Anatomia orientada para
clínica cirúrgica
Apresentação do caso clínico
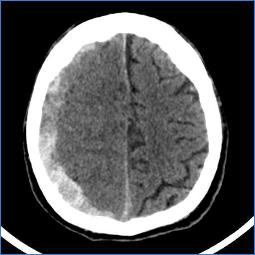
Paciente de sexo masculino, 60 anos de idade e etilista foi admitido ao Hospital de Trauma de Campina Grande na Paraíba com perda da consciência no dia 23/10/2019. O paciente foi atendido pelo neurocirurgião de plantão que, após a avaliação neurológica, solicitou uma tomografia computadorizada sem contraste do encéfalo do paciente. O resultado desse exame foi analisado pelo neurocirurgião que constatou o quadro de hematoma subdural de repetição localizado à direita, comprimindo importantes áreas do encéfalo.






As imagens da
tomografia acima indicam que houve um ressangramento das veias presentes no
espaço subdural. Esse acúmulo de sangue gerou um efeito de massa que levou o
paciente a repercussão clínica neurológica de perda de consciência.
Dessa forma, o
neurocirurgião precisa fazer a descompressão, através da drenagem desse
hematoma subdural, para reduzir a pressão intracraniana. Apesar da urgência em
reverter o quadro clínico do paciente, a cirurgia teve de ser adiada em 2 dias
uma vez que o mesmo estava com uma plaquetopenia, 40.000 plaquetas/µL de sangue. Então iniciou-se
reposição de plaquetas por transfusão sanguínea. Após o paciente atingir o
valor de 100.000 plaquetas/µL, no dia 25/10/2019, o neurocirurgião optou por
realizar uma craniotomia com a técnica de trepanação.
Apesar do paciente ter tido todo o hematoma drenado e da
linha média estar novamente centralizada, houve uma alteração devido ao
procedimento. Assim como evidenciado nas imagens de sua nova tomografia
computadorizada no plano axial nota-se um grande pneumoencéfalo caraterizado
pelo sinal do Monte Fuji. Além disso,
também podemos observar uma reconstrução em 3D, na qual se destaca os sinais de
intervenção cirúrgica pela técnica de trepanação. Assim, o paciente ficou
internado e foi acompanhado clinicamente por 8 dias e teve alta no dia
03/11/2019, quando teve melhora do quadro.






Questões para orientar a discussão
1. Quais são as
principais causas de hematomas subdurais?
2. Qual
característica morfológica clássica na TC antes da cirurgia demonstra que houve
um hematoma subdural?
3. O que explica
a perda de consciência do paciente?
4. O que é um
pneumoencéfalo?
5. Qual é a
principal complicação decorrente da plaquetopenia?
Respostas
1. Os
Hematomas subdurais são principalmente decorrentes de TCEs ou de forma crônica
pode ser devido ao etilismo como no caso apresentado.
2. Em pacientes com
hematoma subdural, o sangue das veias subdurais se acumula no extenso espaço
subdural, uma cavidade virtual entre a camada meníngea da dura-máter e a
aracnoide-máter, produzindo uma borda de
sangue hiperdenso com formato côncavo-convexo semelhante a uma banana, como
evidenciado nas imagens antes da cirurgia. Com um hematoma grande, os sulcos
cerebrais são obliterados, ficando menos evidentes, e as estruturas na linha
média são desviadas para o lado oposto
3. Grandes hematomas como o do caso podem aumentar significativamente
a pressão intracraniana e levar a situações de síncope.
4. Pneumoencéfalo
é definido como um acúmulo de ar ou gás na cavidade intracraniana, pode ser
causado por intervenções cirúrgicas, traumas e raramente ocorre de forma
espontânea.
5. A plaquetopenia pode provocar quadros hemorrágicos graves e muitas fezes fatais. Dessa forma, torna-se necessário uma reposição de plaquetas antes de um procedimento cirúrgico, por exemplo.