Nos últimos anos, o POCUS na abordagem da dispneia vem ganhando espaço nos setores de emergência e de medicina intensiva. Diversos protocolos definidos no conceito point of care ultra sound (POCUS)– ultrassom dedicado e limitado à solução de uma questão específica – estão bem delineados na literatura.
A US de tórax tem uma acurácia elevada, é isento de radiação ionizante, dinâmico, de baixo custo e pode ser realizado à beira do leito, além de ser um método não invasivo.
Probe

- Quanto menor a frequência, maior profundidade e pior qualidade de imagem
- Quanto maior a frequência, menor a profundidade e melhor a qualidade de imagem.
Posicionamento

O upper-BLUE-point está localizado no meio da mão superior. O lower-BLUE-point está no meio da palma da mão inferior. Essas são as áreas de investigação, além do PLAPS-point.
Uso do transdutor no sentido longitudinal x transversal
- A avaliação com transdutor no sentido longitudinal permite a observação de duas sombras acústicas, que representam artefatos posteriores às costelas.
- A disposição do transdutor de modo paralelo às costelas (transversal) também pode ser adotada, em que nesse corte o campo de avaliação será maior, entretanto, as referências das costelas são perdidas.
US normal
- Linha A (modo B)
- Linha pleural (modo B)
- Sinal do deslizamento (modo B)
- Sinal da praia (modo M)
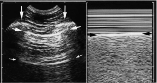
Sinal do morcego (bat sign)

Fonte: OLIVEIRA R e colaboradores. Ultrassonografia pulmonar: uma ferramenta adicional na COVID-19. Radiologia Brasileira, 2020.
Linha A (modo B)
- Reverberação acústica da linha pleural
- Hiperecogênicos
- Não há deslizamento
- Intervalos iguais
- Paralelas à linha pleural


no atendimento inicial do COVID-19, 2020.
Linha pleural (modo B)
- Acompanha a respiração
- Visualização dinâmica
- Sinal do deslizamento (LS)

Sinal da praia (modo M)
- Parede torácica (linhas horizontais)
- Ar (imagem granulada)- “areia”
- Sinal do deslizamento do modo M


Fonte: OLIVEIRA R e colaboradores. Ultrassonografia pulmonar: uma ferramenta adicional na COVID-19. Radiologia Brasileira, 2020.
US anormal
- Múltiplas linhas B (modo B)
- Sinais de consolidação (modo B)
- Ausência de deslizamento pleural e LP (lung point)
- Derrame pleural
Linha B (modo B)
- Feixes hiperecogênicos
- Perpendiculares a pleura
- Apagam a linha A
- Móveis
- >3 linhas – patológico
- Sugestivo de congestão pulmonar ou processo infeccioso



PLAPS

O PLAPS-point é definido pela interseção da linha horizontal no nível do lower-BLUE-point e a linha axilar posterior.
É importante para avaliar síndrome congestiva e síndrome de preenchimento alveolar.
Sinais de consolidação
•Hepatização e broncograma dinâmico

•Sinal do retalho: sugere processo infeccioso

POCUS: ausência de deslizamento pleural e Lung point (LP)
- Lung point é a transição entre o movimento e a PERDA DO MOVIMENTO DA PLEURA – aumenta a suspeição do diagnóstico de pneumotórax.
- Código de barras (modo M) ou Sinal da estratosfera são sinais que demonstram a perda do aspecto granuloso (“areia”).
- Ausência de deslizamento das linhas pleurais –> Fazer US em modo M.


Derrame pleural
Sinal do quadrado (modo B) e Sinal do sinusoide (modo M)

No modo M, as setas pretas indicam a pleura parietal e as brancas indicam a pleura visceral. O sinal do sinusoide é indicativo de derrame pleural.
Beside lung ultrasound in emergency (BLUE)
| Diagnóstico | Sensibilidade (%) | Especificidade (%) |
| Edema cardiogênico | 97 | 95 |
| DPOC ou Asma | 89 | 97 |
| TEP | 81 | 99 |
| Pneumotórax | 88 | 100 |
| Pneumonia | 89 | 94 |
{ "@context": "https://schema.org", "@type": "FAQPage", "mainEntity": [ { "@type": "Question", "name": "Quais critérios compõe um USG anormal?", "acceptedAnswer": { "@type": "Answer", "text": "Múltiplas linhas B (modo B); Sinais de consolidação (modo B) ; Ausência de deslizamento pleural e LP (lung point); Derrame pleural." } } , { "@type": "Question", "name": "Qual sinal ultrassonográfico é característico de derrame pleural?", "acceptedAnswer": { "@type": "Answer", "text": "Sinal do quadrado (modo B) e Sinal do sinusoide (modo M)." } } , { "@type": "Question", "name": "Qual a relevância da utilização do USG de tórax na abordagem da dispneia?", "acceptedAnswer": { "@type": "Answer", "text": "A US de tórax tem uma acurácia elevada, é isento de radiação ionizante, dinâmico, de baixo custo e pode ser realizado à beira do leito, além de ser um método não invasivo." } } ] }